
Biological dentistry is a critical part of maintaining overall health by carefully considering how dental practices affect the entire body. At the International Academy of Biological Dentistry and Medicine, we emphasize methods that minimize potential health risks. One major concern in traditional dentistry is mercury fillings.
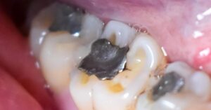
Traditional amalgam fillings contain approximately 50% mercury. Dentists often use these fillings because they are durable and affordable. However, mercury poses hidden risks. It vaporizes at room temperature, releasing invisible toxins that patients unknowingly inhale while performing everyday actions like chewing. This constant, unnoticed exposure can significantly impact a patient’s health.
Mercury toxicity can severely affect the nervous and immune systems. Symptoms might include tremors, insomnia, forgetfulness, or even loss of coordination. Additionally, when mercury fillings coexist with other metals, such as gold crowns, galvanic toxicity can occur. This reaction increases mercury exposure, posing even greater health risks. As dental professionals, understanding these dangers is crucial.
Biological dentistry takes a safer, more holistic approach. At the IABDM, we advocate for the use of biocompatible, mercury-free materials. By choosing safer alternatives, we protect our patients from unnecessary health risks.
Our commitment goes beyond just avoiding mercury fillings. Many patients already have amalgam fillings, and removing them improperly can increase mercury exposure. Therefore, we educate our members on safe and responsible removal techniques. These methods protect patients, dental practitioners, and the environment from further harm.
Recognizing the dangers associated with mercury fillings is the first step toward healthier dental practices. Biological dentistry prioritizes overall patient wellbeing. By choosing mercury-free alternatives and promoting safe practices, dental professionals can significantly enhance their patients’ oral and general health. Together, through education and awareness, we can ensure healthier smiles and a healthier world.
The International Academy of Biological Dentistry and Medicine (IABDM) is a network of dentists, physicians, and health professionals committed to promoting biological dentistry. Visit us online to learn how our health practitioners are promoting optimal health through the use of non-toxic dental materials.